Appointments: 304-841-6760
NOTE!!!! Same day appointment available only if it a emergency!!
About Us
Dr. Virginia Bryan graduated from the West Virginia University School of Dentistry in 2012. She grew up in Fairmont, WV has practiced in North Central West Virginia for the since 2013. Dr. Virginia prides herself in providing the highest quality care to patients of all ages in a calm and comfortable environment. She is experienced in all facets of general dentistry, including routine and surgical extractions, fillings, crowns, bridges, root canals, dentures, dental implants and cosmetic procedures. When she is not in the office, Dr. Virginia enjoys spending time with her husband, Frank, sons, Graham and Brooks, as well as playing music.
We strive to ensure each patient is cared for in a competent and professional manner. Each staff member is commiteed to providing specific care to everyone that comes into our practice. Whether it is for a cleaning, filling, or other dental services, we are determined to provide the best experience for our patients.
We provide quality and personalized oral health care while keeping your individuality in mind. Our goal is to partner with you to improve and maintain your oral health so you can smile with confidence. We are dedicated to stay up-to-date with the latest treaments to provide our patients with the best care possible.
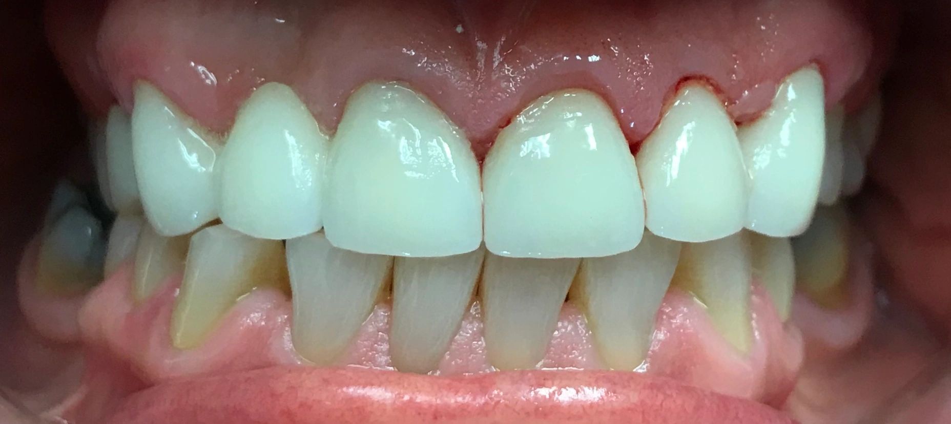
Smile Gallery

























Our Services
We offer a variety of options for changing your smile, including whitening, crowns, and veneers. Schedule a consultation to discuss what would work best for you!
Prevention is key to maintaining a healthy smile. Consistent checkups will allow us to diagnose gum disease, tooth decay, and other conditions, such as oral cancer, as early as possible.
Teeth can become stained from food and drinks. We offer the GLO Whitening take-home kits, as well as conventional whitening trays with the highest quality whitening gel. Call us to set up a whitening consultation!
Dental implants can be used for a variety of purposes, from single tooth replacement to full arch reconstruction and stabilizing a loose denture. Give us a call to discuss a potentially life-changing procedure.
Contact Us
304-841-6760
411 E Main St
Clarksburg, WV 26301
info@dentalcareassociates.com
Mon | 08:00 am – 03:00 pm | |
Tue | 08:00 am – 03:00 pm | |
Wed | 08:00 am – 03:00 pm | |
Thu | 08:00 am – 03:00 pm | |
Fri | 08:00 am - 12:00 pm | |
Sat | Closed | |
Sun | Closed |
